
Epithelioid Trophoblastic Tumor and Differential Diagnoses
A 47-year-old woman with prolonged uterine bleeding and initial endometrial sampling with proliferative endometrium. Because of her prolonged uterine bleeding and leiomyomatous uterus she was taken to the operating room and hysterectomy was performed. Grossly, the uterus revealed multiple leiomyomas, but also a white-tan lesion in the lower uterine segment. Microscopic examination: the lesion revealed nodular, expansile growth. The nodules were composed of epithelioid cells with abundant eosinophilic cytoplasm, frequent mitotic figures, and the background…
Umbilical Cord
Length: the first thing to document while grossing the placenta is the length of the umbilical cord. About 1-2% of all umbilical cords will be less than 35 cm and those should be considered as a short cord (is the entire length of the cord was submitted). The short cord can be correlated with neonatal…
Delayed Postpartum Haemorrhage
Postpartum hemorrhage can be seen immediately after delivery or it can be delayed and may appear weeks or even months after delivery. Common reasons for postpartum hemorrhage are injury of the cervix or uterus, uterine atony, retained placental tissue, endometritis, placenta accreta. Delayed postpartum hemorrhage is likely to be associated with a pathologic process and…
Products of Conception
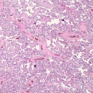
FIRST SEMESTER PRODUCTS OF CONCEPTION: Grossly small amount of tissue (tissue minus blood <4 -5cm). Villi are small (size of 2-2.5 endometrial glands or <4 mm) (figure 1). Trophoblastic proliferation in polarized (trophoblasts grow in columns towards the oxygen source) Exceptions: extrauterine (fallopian tube pregnancy) can show significant trophoblastic proliferation. This can be attributed to…
Subscribe
Get new content delivered directly to your inbox.