Postpartum hemorrhage can be seen immediately after delivery or it can be delayed and may appear weeks or even months after delivery. Common reasons for postpartum hemorrhage are injury of the cervix or uterus, uterine atony, retained placental tissue, endometritis, placenta accreta.
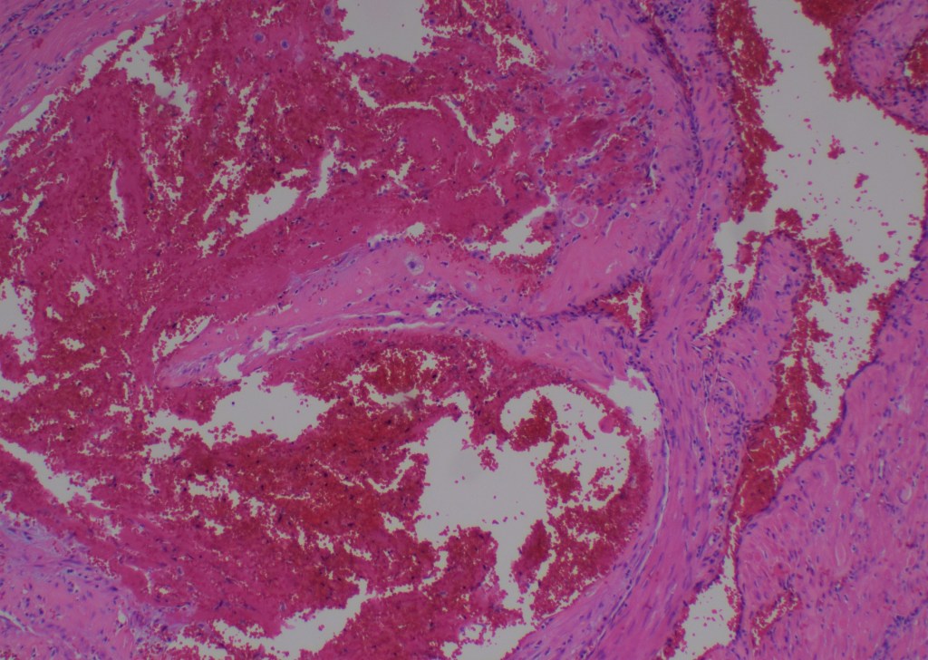
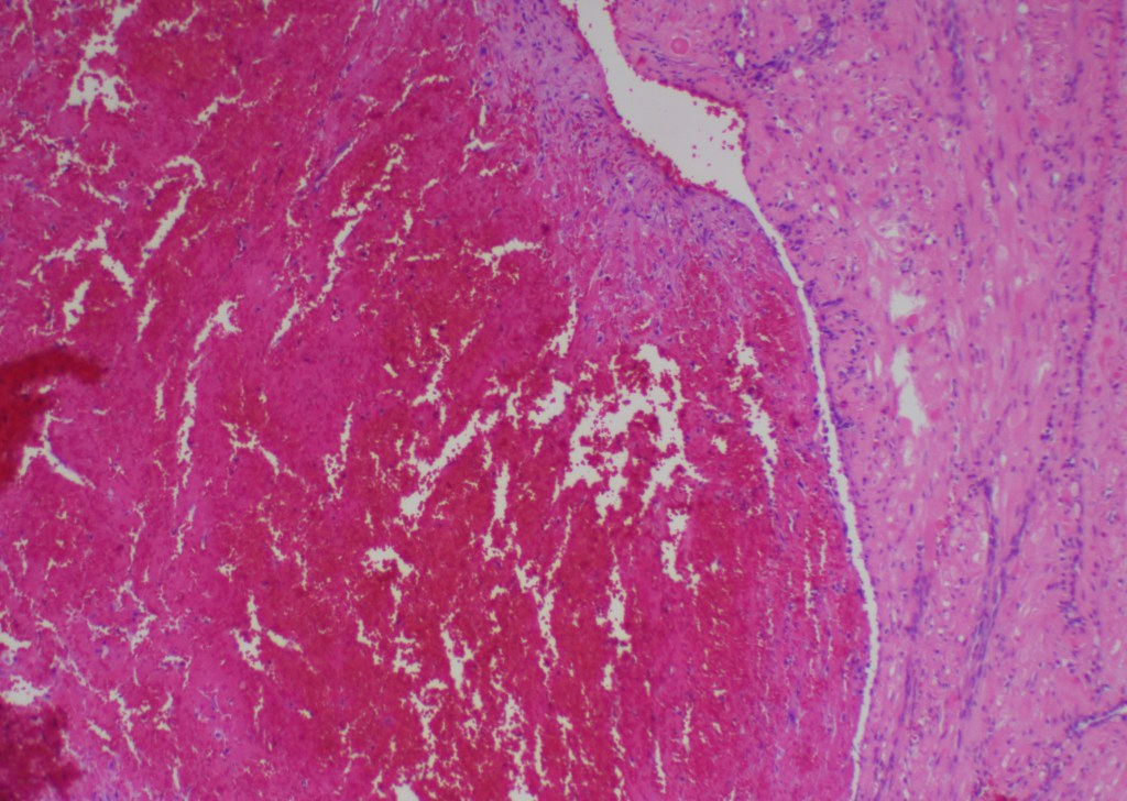
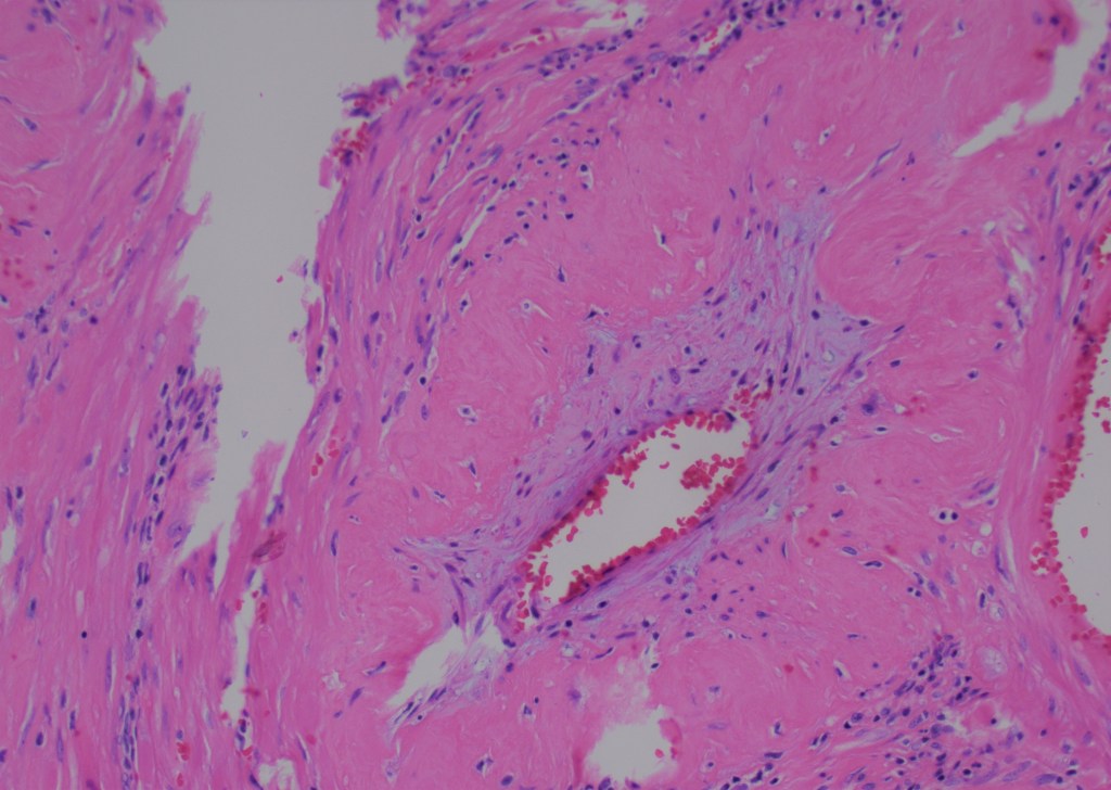
Delayed postpartum hemorrhage is likely to be associated with a pathologic process and one of the reasons I see once or twice a year is a subinvolution of the placental site. It is easy to recognize and yet it can be missed if the pathologist does not think about this entity. After delivery contraction of myometrium closes the arteries and stops the bleeding. The arteries and veins in the implantation site go through a series of changes such as hyalinization, inflammation, intimal proliferation, and organized thrombi.
| Time postpartum | Veins | Arteries |
| 1-3 days | Hyalinized to thrombosed | Fibrinoid necrosis to obliterative endarteritis |
| 3-8 days | Organizing thrombi | Intimal proliferation and hyalinization |
| 4-20 weeks | Hyalinized vessels | Hyalinized vessels with absence of decidua |
Histologic changes in blood vessels of normal placental site involution (adapted from Manual of Pathology of the Human Placenta)
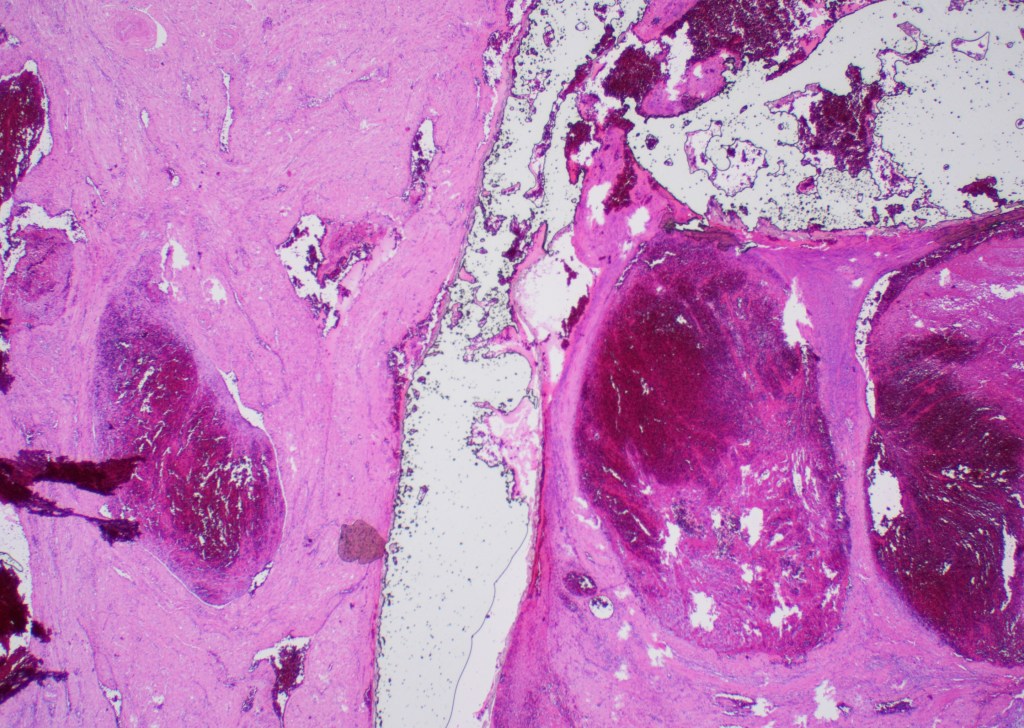
To establish the diagnosis of subinvolution of the placental site it is crucial to establish the timeline of bleeding. The hallmark is delayed bleeding that happens 3-4 weeks after delivery. Low-power examination will be significant for clusters of large dilated arteries. The histologic findings are similar to normal histologic changes during placental site involution but the changes are delayed. Personally, I compare the changes to the table above. More detailed timelines can be found in the textbooks.
This is the case of 34-year-old women with bleeding 4 weeks after delivery. She was admitted to the hospital.




In this particular case the histologic changes of the implantation site fall in between 3 and 8 days after delivery. The findings are not consistent with 4 weeks postpartum histologically unremarkable placental site. Therefore the diagnosis subinvolution of the placental site is established.
For more detailed descriptions and other causes of postpartum hemorrhage I highly recommend Dr. Rebecca Baergen’s book: Manual of Pathology of the Human Placenta.